https://www.youtube.com/watch?v=-mSPEGLNdyY&t=2086s
-
Dịch tễ suy tim
-
Tỷ lệ mắc: có khoảng 5 triệu ngừoi mắc suy tim (Mỹ), > 10% ở lứa tuổi 70-80 tuổi
-
Tỷ lệ mới mắc: khoảng 550 000 người mới mắc suy tim/năm.
-
Khoảng 1000.000 BN phải nằm viện điều trị/năm.
-
Là nguyên nhân/góp phần của 600.000 ca tử vong/năm. > 50% là đột tử do tim
-
-
Hội chứng suy tim cấp
-
Là sự xuất hiện hoặc thay đổi nhanh chóng các triệu chứng, dấu hiện của suy tim
-
Đây là tình trạng cấp cứu tim mạch.
-
-
Classification of AHF

-
Trong suy tim cấp thì thể bệnh thường gặp nhất là phù phổi cấp.
-
Phù phổi cấp là tình trạng thoát dịch từ mạch máu phổi vào mô kẻ và phế nang phổi (giống như người chết đuối ở trên cạn). → Ngăn cản sự trao đổi khí giữa mao mạch và phế nang → gây suy hô hấp cấp.
-
Cơ chế:
-
Mất cân bằng của luật Starling (tăng áp lực mao mạch phổi, giảm áp lực keo huyết tương, giảm áp lực mô kẻ)
-
Tổn thương hàng rào phế nang - mao mạch
-
Tắc nghẽn hệ thống bạch huyết
-
Vô căn hay không biết cơ chế (Đặc biệt là phù phổi cấp không do tim)

- Tăng áp lực cuối tâm trương thất trái → tăng nhanh áp lực thuỷ tỉnh mao mạch phổi → tăng thẩm thấu từ mào mạch vào phế nang + vượt quá khả năng hấp thụ của mạch bạch huyết → tràn vào phế nang → ====gây phù phổi cấp do tim (quá tải về thể tích).====
-
-
Nguyên nhân PPC do tim
-
Hội chứng động mạch vành cấp
-
Cơn tăng huyết áp (thường cấp cứu hoặc khẩn cấp)
-
Bệnh van tim: hẹp van 2 lá → rối loạn nhịp nhanh → phù phổi hoặc hẹp van 2 lá làm tăng áp lực tim trái → phù phổi cấp
-
Viêm cơ tim cấp
-
Rối loạn nhịp tim: rung nhĩ đáp ứng thất nha
-
Chèn ép tim
-
U nhày nhỉnh, quả tải dịch, thuốc giảm sức co bóp cơ tim.
-
-
Yếu tố thúc đẩy

-
Nguyên nhân PPC không do tim

-
Chẩn đoán
-
Lâm sàng:
-
Phù mô kẻ → Thở nhanh và khó thở
-
Phù phế nang → Giảm oxy máu, ho, khạc đàm bọt hồng (diễn tiến nhanh)
-
Dấu hiệu lâm sàng:
-
hốt hoảng, lo sợ, ngồi bật dậy ,bứt rứt
-
Khó thở, co kéo cơ hô hấp phụ, da xanh sao vả mồ hôi, thở nhanh, tiếng thở ồn ào, thở rít.
-
Có thể có tím môi và đầu chi
-
TM cổ nổi
-
SpO2 thường giảm < 90%
-
Nhịp tim nhanh, có thể tiếng Gallop T3, âm thổi ở tim liên quan đến bệnh lý van tim
-
HA thay đổi, có thể tăng HA hay hạ HA, thiểu niệu
-
Ran ẩm 2 đáy phổi dânh lên, ho khạc đàm bọt hồng
-
Phù, gan to
-
-
-
Cận lâm sàng:
-
Máu: khí máu động mạch, BNP, Nt-pro BNP, Troponin, điện tâm đồ (RLN, HCVC),….
-
Hình ảnh ECG hay gặp: nhịp nhanh xoang, RLN nhanh, nhồi máu cơ tim ST chênh lên,…
-
-
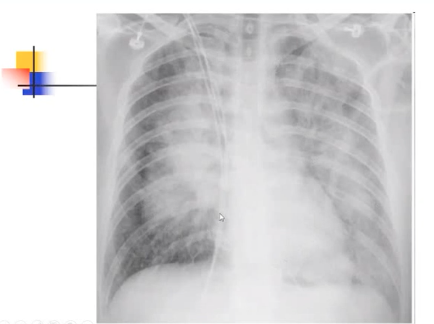
Hình ảnh XQ:
-
Giai đoạn phù phổi: hình ảnh hình cánh

-
-
-
Siêu âm tim (Đánh giá được nhiều thông số)

-
Thông tim: tiêu chuẩn vàng
-
Đo áp lực động mạch phổi bít:
-
NN do tim: cao > 18 mmHg.
-
NN không do tim: bình thường hay thấp ≤ 18 mmHg.
-

-
-
-
Yếu tố tiên lượng

-
Điều tr





